flot
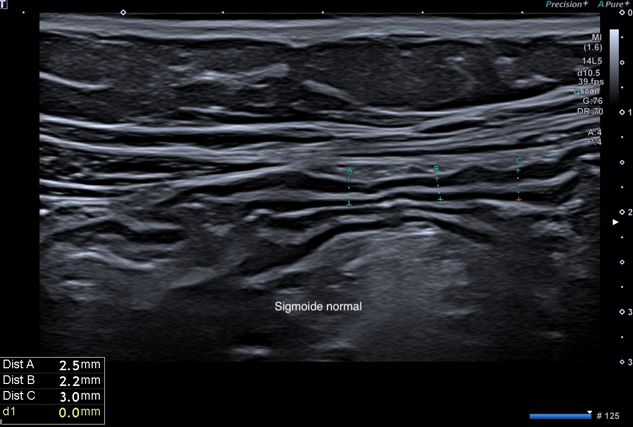
la paroi normale est souvent difficile à identifier
elle mesure parfois 1 mm,
----→ Quand on ne voit rien en échographie digestive c'est qu'il n'y a souvent rien à voir.
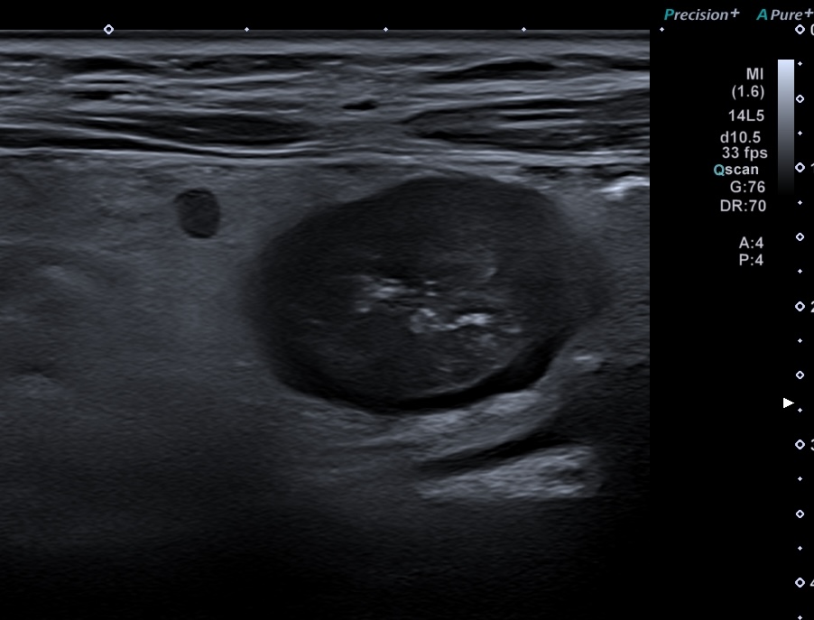
les modifications vont faciliter le repérage de l'anse inflammée et rendre la paroi visible
----> Plus l'inflammation est intense plus les lésions sont faciles à voir.!

< 3 mm
Doppler = pas d'activité doppler
Graisse normale (pas d'infiltration)
Pas de ganglion (< 6 mm de petit axe)

Sigmoide paroi 2,5 mm

Il y a 4 types de modifications
Epaisseur > 3 mm
Doppler +
Graisse inflammée
Ganglions inflammatoires (> 6 mm de petit axe)
En pratique
En cas d'inflammation, on peut voir 4 types de modifications échographique:







