flot

- Colon gauche : le long du bord interne, donc sur le coté droit du côlon.
- Colon droit : le long du bord interne, donc sur le côté gauche du côlon.
- Transverse : au dessus du côlon, entre l'estomac et le transverse
- L'iléon se draine vers le mésentère
- donc il faut chercher les ganglions au dessus de l'iléon, en direction des vaisseaux mésentériques.
- Classiquement on mesure le petit axe, > 5 mm en cas d'inflammation. C'est surtout vrai pour l'iléon
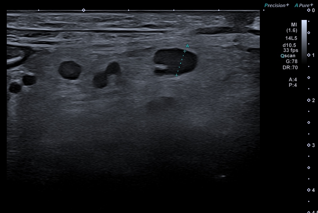
Ci-dessous ganglions de petite taille (5 mm) arrondis, hypo échogènes et situés au sein d'une inflammation de la graisse

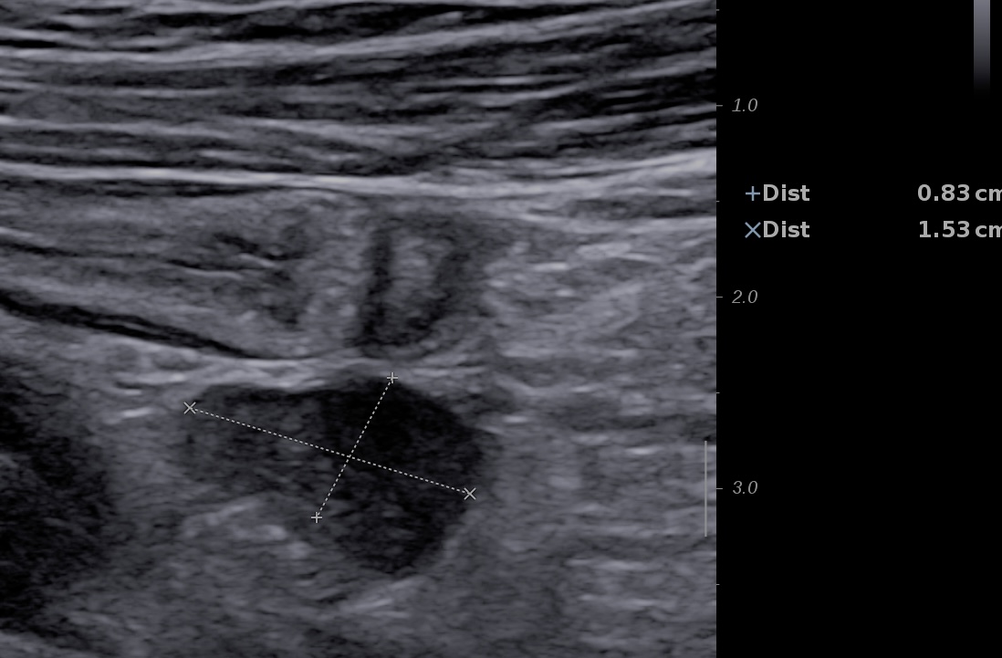
Ci-dessous volumineux ganglion (9,6 mm) inflammatoire

- En cas de RCH, La présence de multiples petits ganglions le long du colon de 3 ou 4 mm est cependant pathologique.
Ci-dessous RCH sigmoïde avec sous muqueuse très hyperéchogène, petit ganglion (3 mm) satellite posé sur le psoas

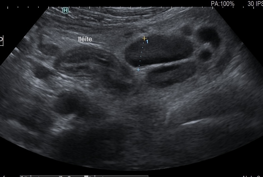
Iléïte et gros ganglions mésentériques

- En cas de colite infecteuse, on a de multiples ganglions associés à une importante infiltration du mesentère
Sigmoïde inflammé et gros ganglion (8 mm)
- En cas de très gros ganglions > 2 cm, il faut penser au lymphome.
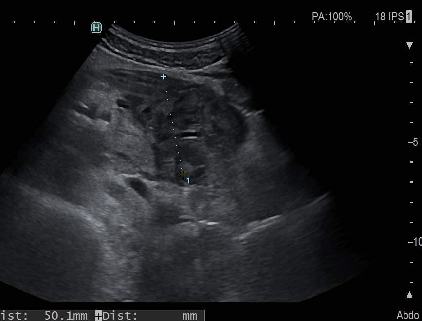
Masse coeliomésentérique de 5 cm maladie de Corhn sous adalimumab, Lymphome de haut grade.