C'est un des signes importants de l'inflammation de la paroi intestinale
On utilise la classification de Limberg "modifiée" qui ne tient compte que de l'activité Doppler
Attention: les réglages Doppler modifient énormément les résultats!!
En prenant le segment le plus atteint,
Le score de Limberg modifié est basé sur 4 stade il ne tient compte que de la vascularisation intestinale observée en Doppler:
- Limberg 0 Aucun signal Doppler (paroi intestinale normale, pas de vascularisation détectable)
Doppler limité à la paroi
- Limberg 1 quelques signaux, courts, épars dans la paroi indiquant une faible vascularisation (= inflammation minime)
- Limberg 2 signaux nombreux et plus longs dans la paroi Vascularisation modérée avec plusieurs signaux Doppler visibles dans la paroi intestinale, (= inflammation modérée)
Doppler paroi + graisse
- Limberg 3 signal abondant dans la paroi et la graisse mésentèrique vascularisation marquée (= Inflammation sévère)
Une activité Doppler > 1 est corrélée avec la présence d’ulcérations en coloscopie, avec une sensibilité de 67 %, une spécificité de 92 % et une forte valeur prédictive positive à 97 %. (1)
The Role of Intravenous Contrast Agent in the Sonographic Assessment of Crohn’s Disease Activity: Is Contrast Agent Injection Necessary? Tomás Ripollés: Journal of Crohn’s and Colitis, Volume 13, Issue 5, May 2019, Pages 585-92.
Les flux dans les petits capillaires circulent entre 4 et 8 cm/s, le moindre mouvement de la sonde, la respiration, les contractions de l'anse vont déclencher l'apparition d'un signal doppler (artéfact)
- Règler la vitesse cible entre 6 et 8 cm/s
si la vitesse est règlée à 20 cm/s comme pour la veine porte, on ne les détectera pas.
Au contraire si on est réglé à 1 ou 2 cm/s on aura beaucoup d'artéfact.
- Monter la PRF au maximum des artefacts, puis la descendre à la mesure à laquelle ces artéfacts disparaissent
- À ces vitesses tous les mouvements vont déclencher le Doppler
Les mouvements du grèle déclenchent le Doppler, ne pas les confondre avec une hyperactivité
Demander au patient de ne pas respirer, pour diminuer les artéfacts
- Ne pas tenir compte des images doppler dans la lumière du tube digestif
car au delà l'interface avec la lumière, ce sont toujours des artéfacts (tous les spots situés dans la lumière sont des artéfacts)
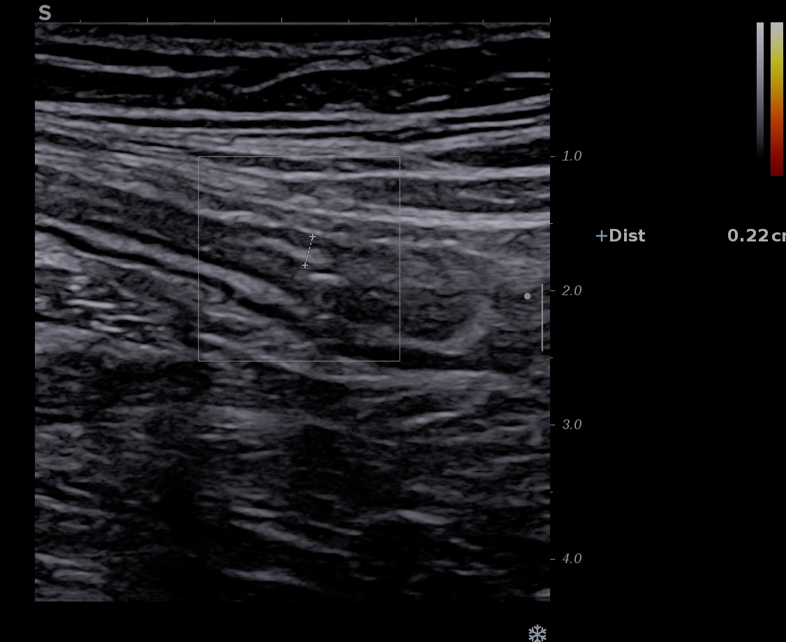
Aucune activité Doppler
Paroi non épaissie, aucune actibvité Doppler dans la fenêtre


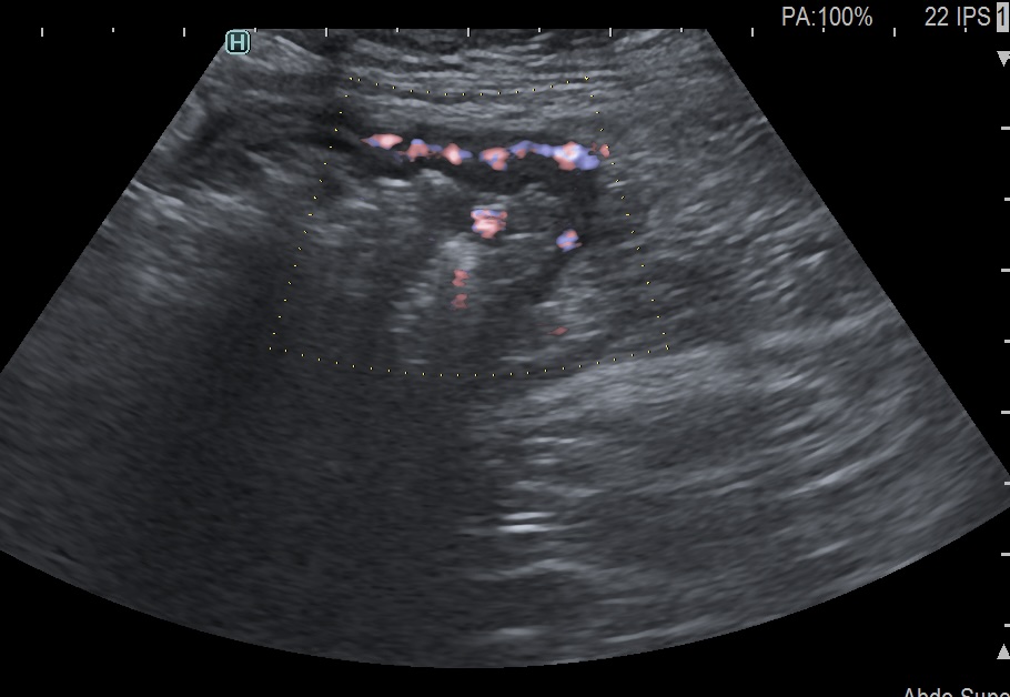
Activité Doppler limitée à la paroi, peu intense
- spots épars de petite taille



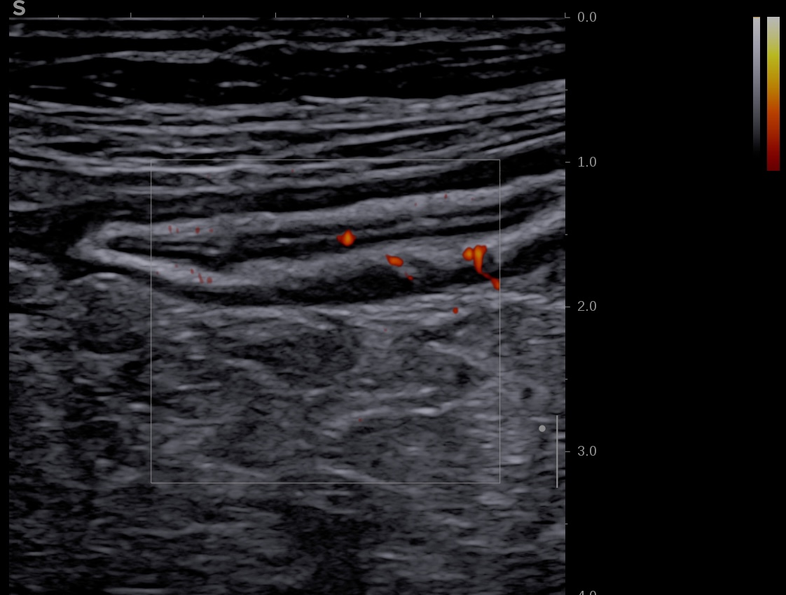
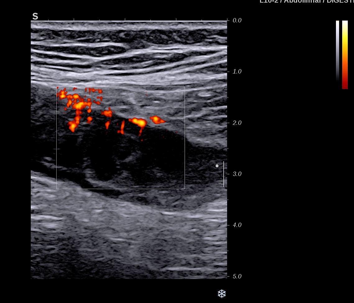
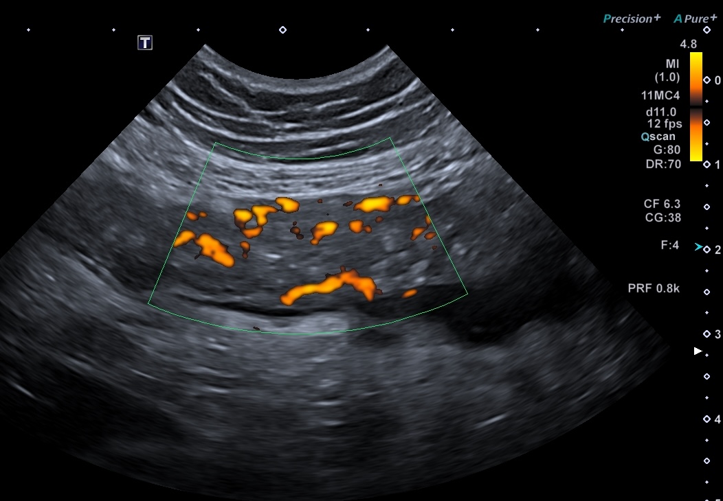
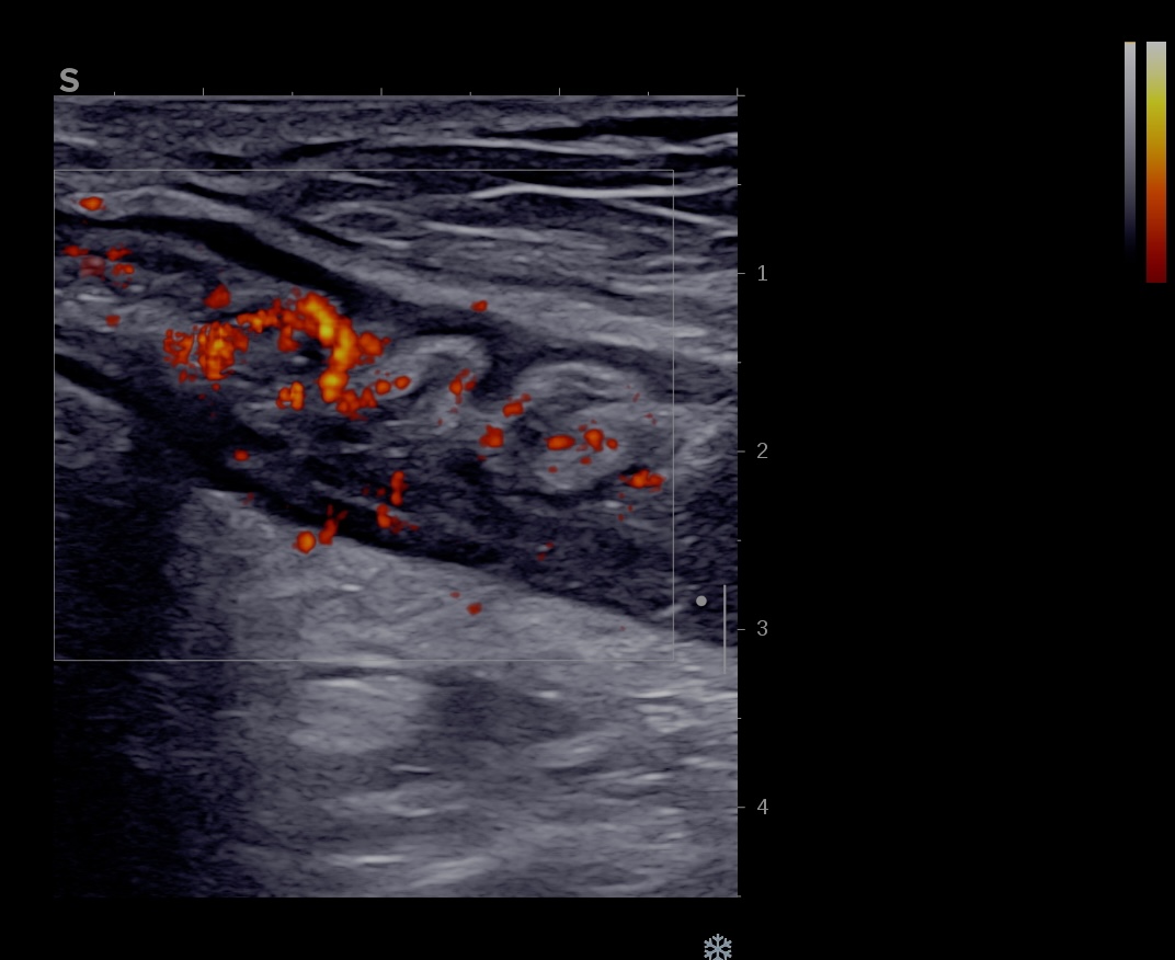
Activité Doppler limitée à la paroi, intense
- spots longs et multiples (limités à la paroi)



Activité Doppler intense de la paroi et de la graisse
Maladie de Crohn intense activité Doppler paroi et graisse





Il exite différents doppler qui peuvent tous être utilisés pour mesurer l'activité inflammatoire de la paroi intestinale.
- Le Doppler Couleur (qui enregistre la direction des flux (rouge se rapproche de la sonde et bleu s'éloigne de la sonde)
- Le Doppler Energie (qui ne mesure que les flux d'une seule couleur)
- La microcirculation (fournie par certains constructeurs)