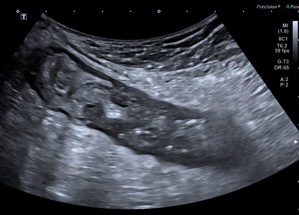
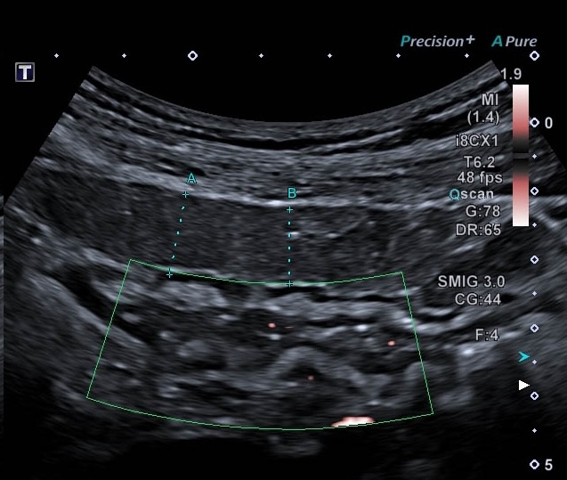
La graisse infammēe autour d'une anse devient hyper-échogene.
C'est un élément majeur de l'inflammation en échographie.
- Elle oriente le diagnostic, lorsque l'on voit une inflammation, il faut trouver la cause.
Basse Fréquence inflammation de la graisse autour du colon transverse (maladie de Crohn colique)

- On la mesure mieux sur une coupe transversale.

Coupe transversale permet de mieux aprécier l'inflammation de la graisse


- Plus l'inflammation atteint la séreuse, plus la graisse environnante devient infiltrée
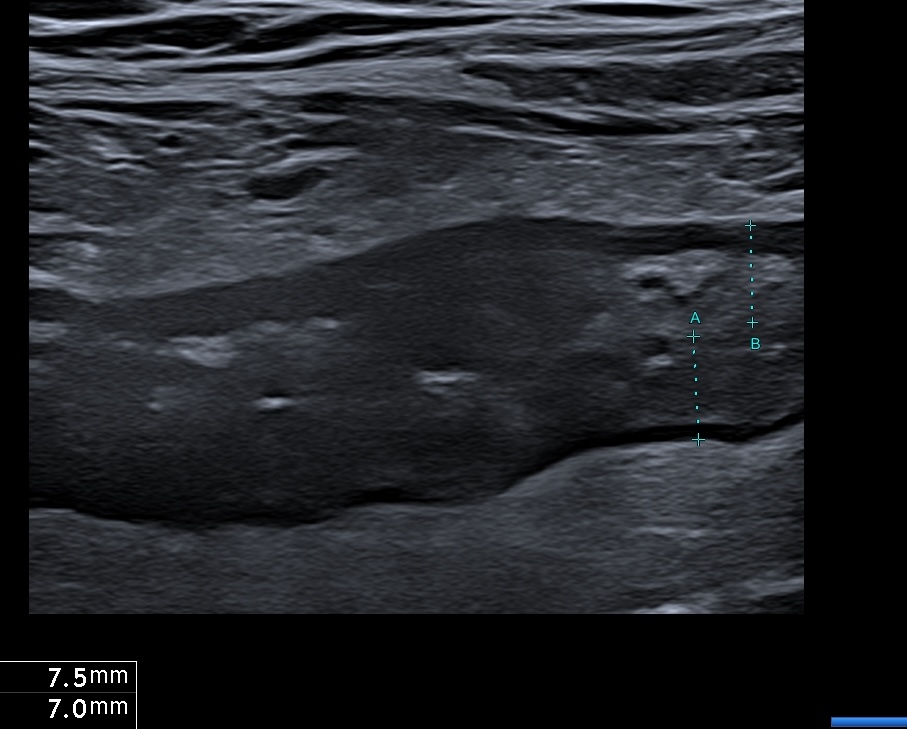
- habituellement faible dans la RCH, si elle est présente cest un argument de gravité (colite aigue grave, habituellement associée à une perte diffuse de la structure en couches).
- plus importante en cas d'inflammation transmurale, type Crohn ou colite ischemique.
- IMportante et localisée dans la diverticulite, ou importante et diffuse en cas de complication (fistule et abcès)
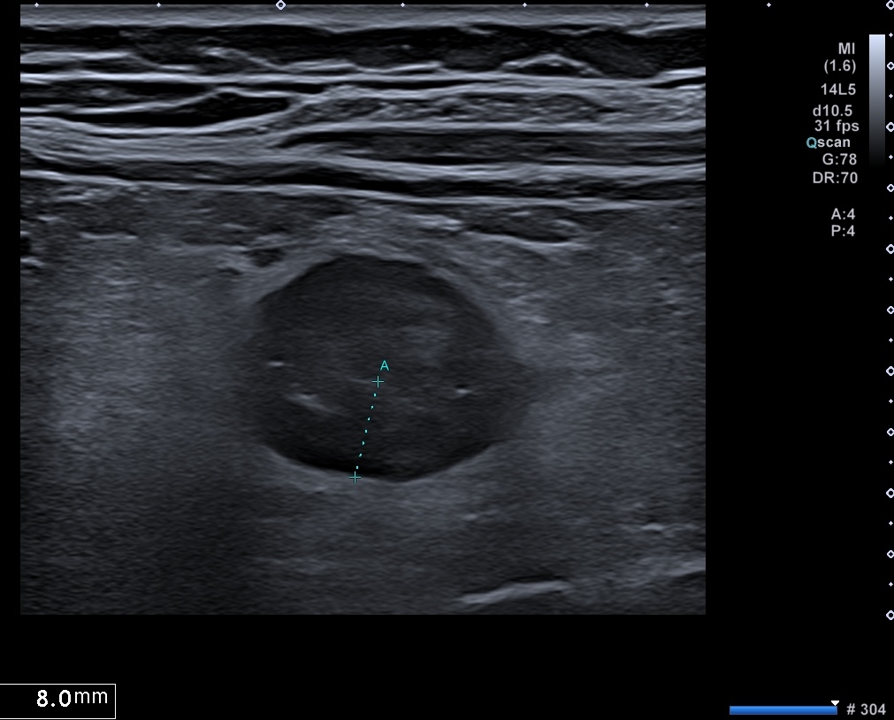
- Le caractère inflammatoire peut se voir en Doppler, présence d'une hyper-activté doppler au sein de la graisse ( cela définit le stade 3 de Limberg).
Elle peut régresser très rapidement ou disparaitre lorsque l'inflammation diminue.
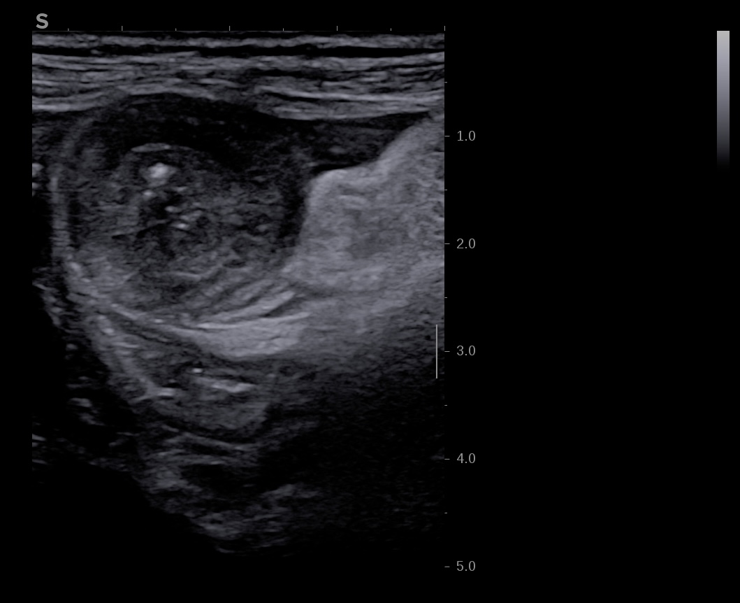
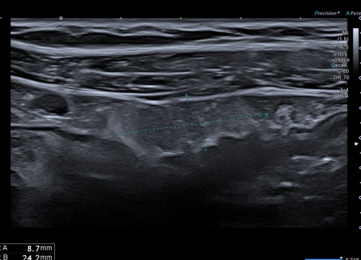
C'est la forme chronique de l'inflammation de la graisse, l'inflammation devient scléreuse, figée arrondie, plus hypoéchogène
- attraction de la séreuse en profondeur qui prend un aspect spiculé
- plus hypoéchogène
- Déformant la paroi localement

Sclérolipomatose antérieure iléon, graisse hypo échogène paroi Limberg 1 au maximum

