flot
C'est l'élément le plus sensible et le plus reproductible (inter et intra observateur)
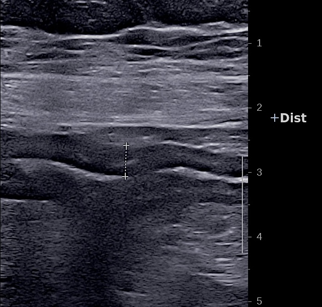
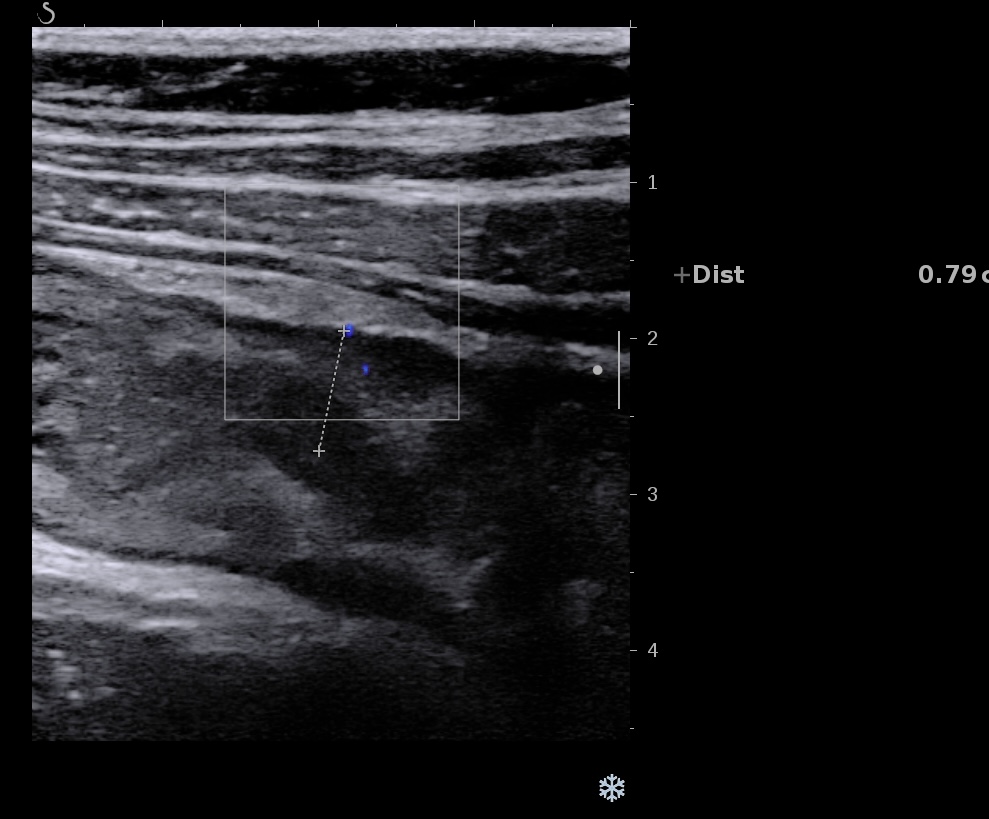
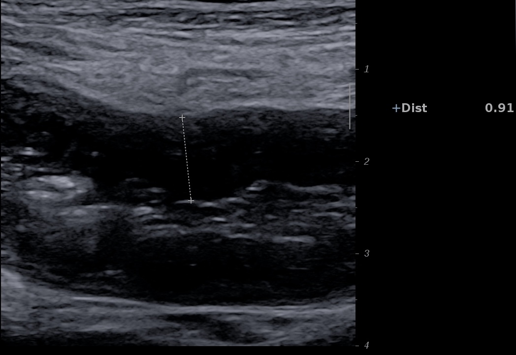
Au delà de 3 mm la paroi est épaissie.
Elle est très importante si on veut être fiable et reproductible et pouvoir suivre l'évolution de l'inflammation
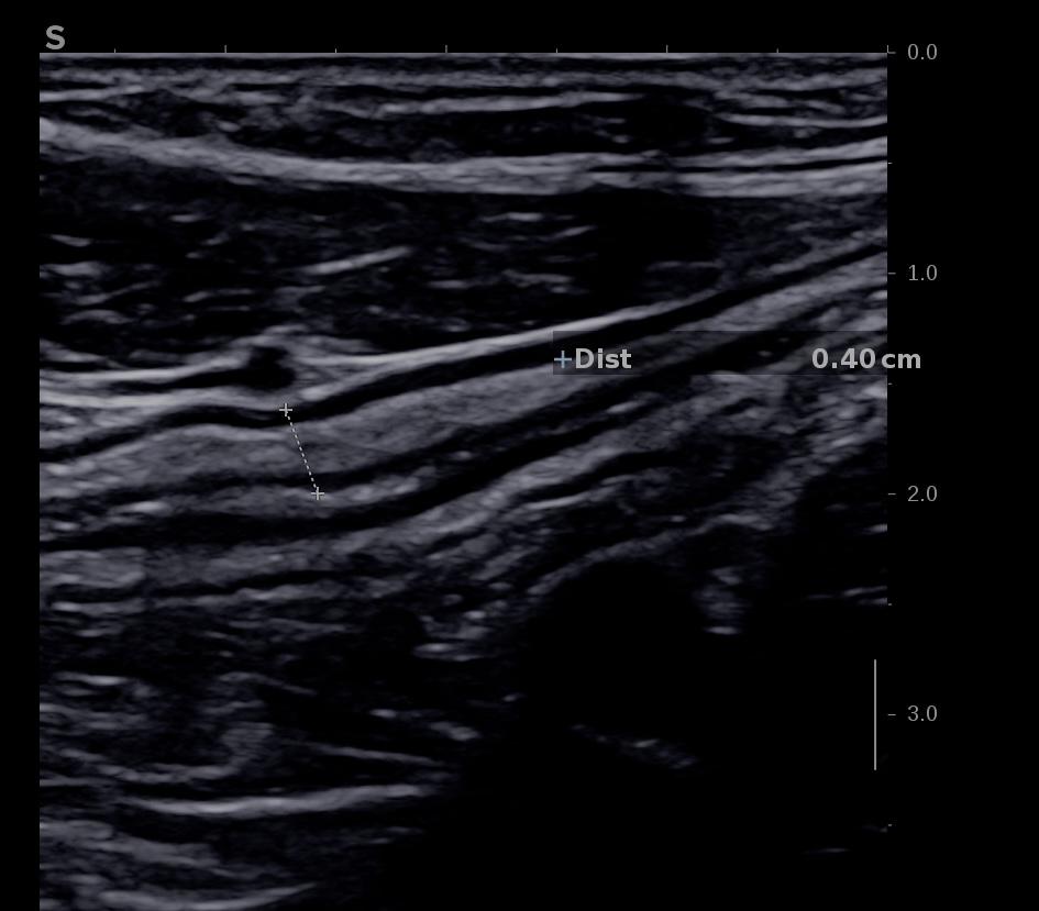
L'épaississement se mesure entre la muqueuse (hypoéchogène) et la musculeuse (hypoéchogène),
Ci dessous même portion avec et sans compression douce.


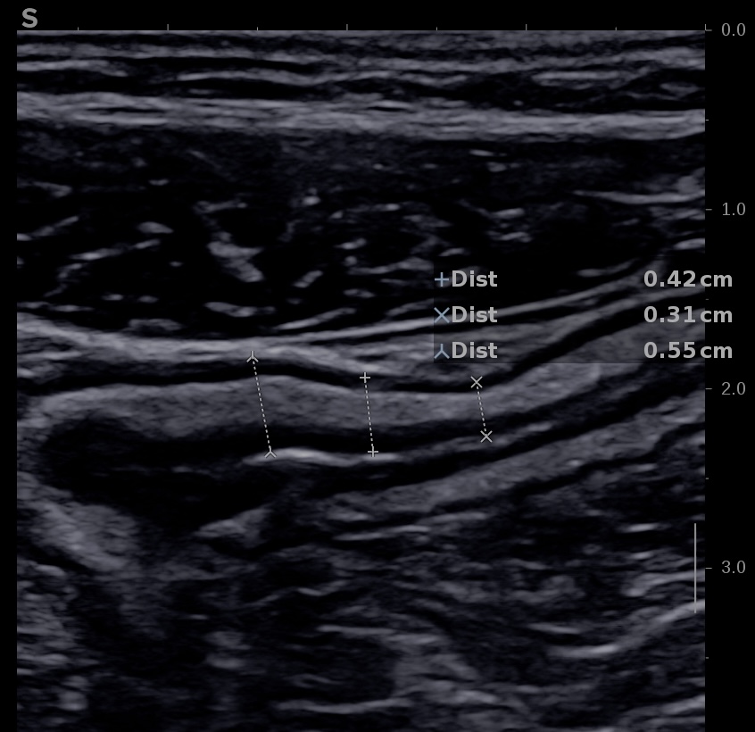
Il faut faire la moyenne de plusieurs mesures (≥3) en coupe longitudinale et transversale

L'échographie est la technique radiologique qui a la meilleure résolution (millimètre)
L'analyse du type des couches épaissies peut nous orienté vers le type de maladie.
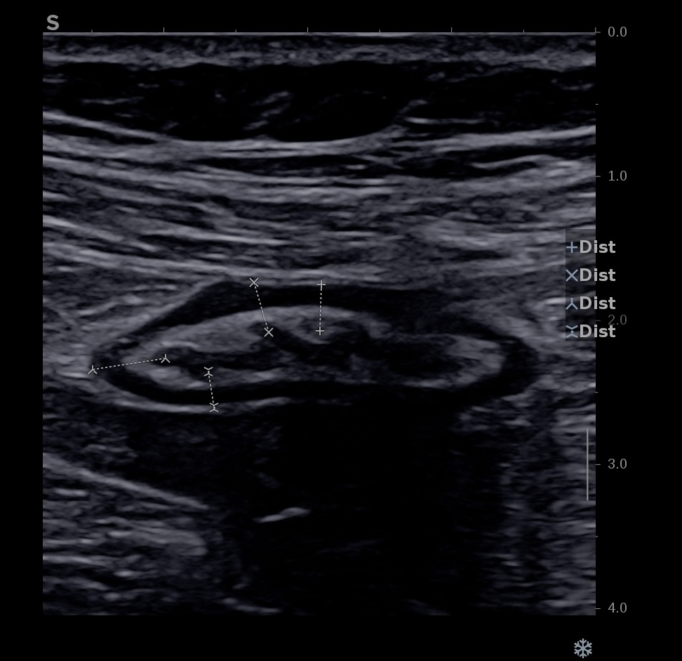
Correspond à une inflammation aigue de la muqueuse

Iléïte aigue inflammation de la muqueuse très hypoéchogène, la sous muqueuse et la musculeuse sont intactes

Iléïte aiguë infectieuse
Iléïte aiguë infecctieuse

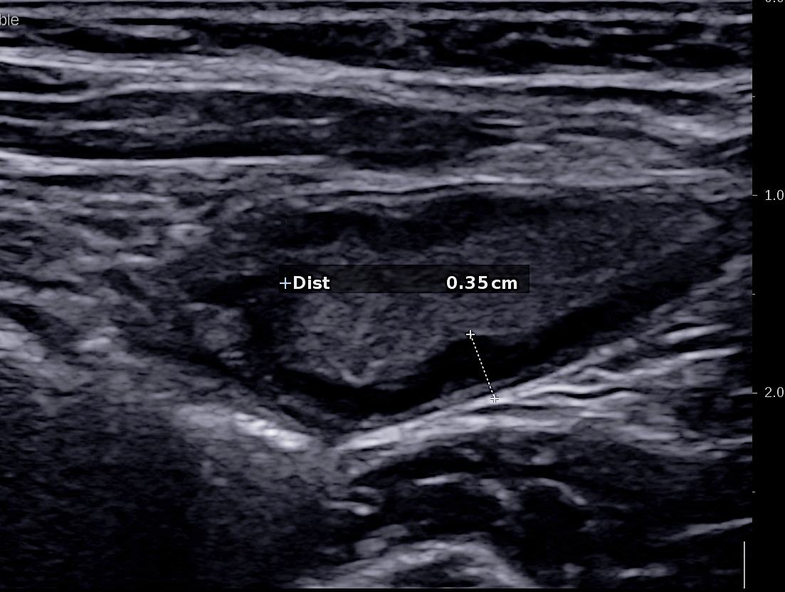
Inflammation de la sous muqueuse, c'est l'image élémentaire typique des RCH (et des maladie de Crohn coliques RCH likes)

RCH muqueuse et sous muqueuse épaissie

Ci dessous RCH avec sous muqueuse épaisse et hyperéchogène.

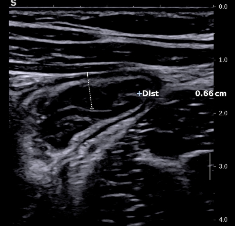
Ci-dessous seule la sous muqueuse hyperéchogène est épaissie

La sous muqueuse hyper échogène prend un aspect hypo-échogène qui se confond avec la sous muqueuse (fusion de l'ensemble des couches).
La paroi devient totalement hypoéchogène c'est un signe échographique de gravité.

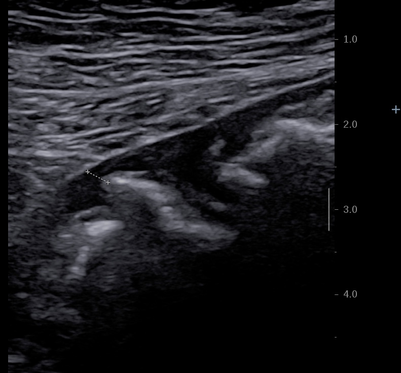
Ci-dessous, maladie de Crohn colique, inflammation transmurale focale, et très important infiltrat de la graisse.


Ci-dessous epaississements asymétriques et discontinus avec inflammation transmurale focale à plusieurs endroits alternant avec des zones intactes






C'est plutôt un diagnostic différentiel des MICI car on l'observe surtout au niveau du sigmoide dans la maladie diverticulaire.

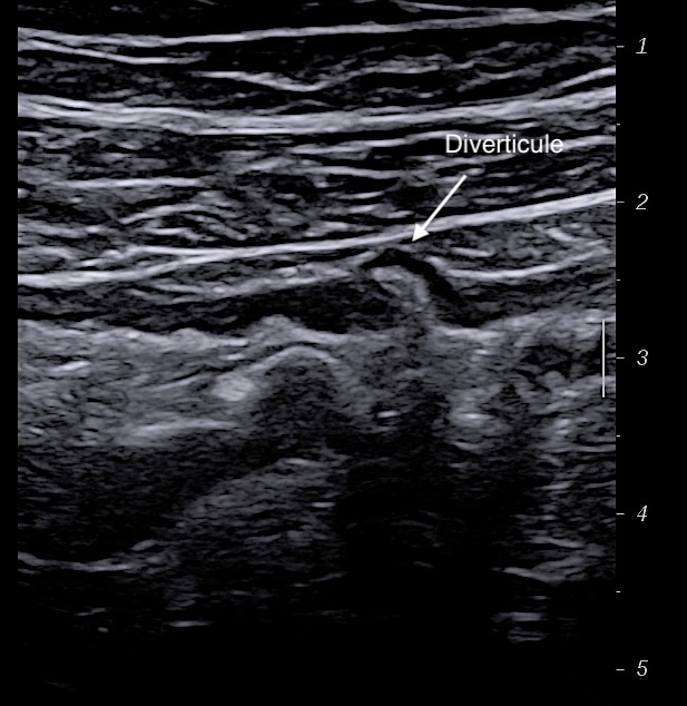
En basse fréquence la musculeuse épaissie hypoéchogène souligne les parois du sigmoide

Epaississement musculeuse et image diverticulaire

Musculeuse sigmoidienne épaissie paroi non inflammée
