flot
On observe classiquement un épaississement et une perte des haustrations.
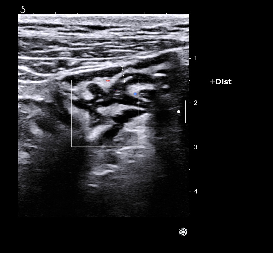
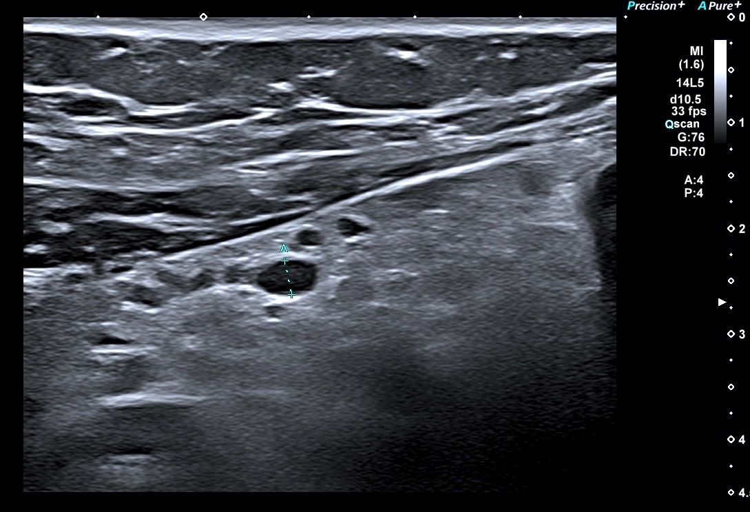
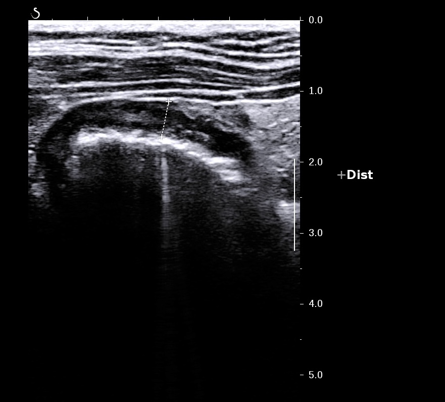
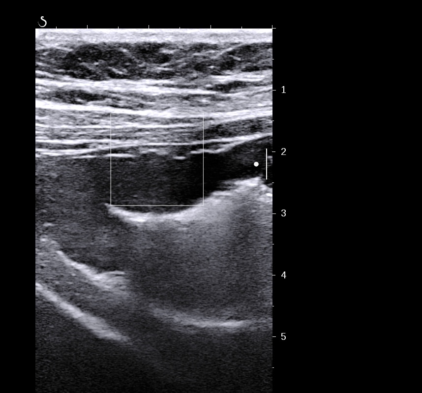
RCH classique, respect de la structure en couche,sous muqueuse très épaissie; musculeuse intacte

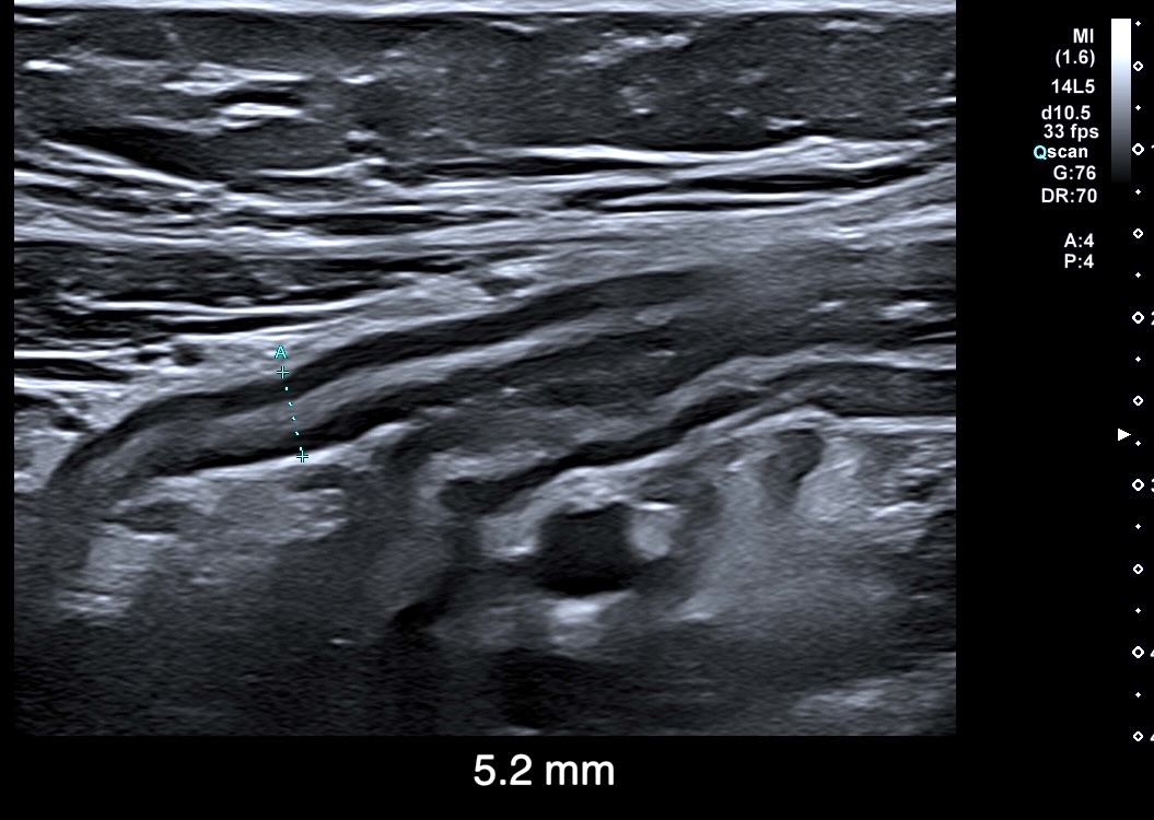
Classiquement dans la RCH, l'épaississement concerne les couches 2 et 3, c'est à dire muqueuse (hypoéchogène) et sous muqueuse (hyperéchogène) car il s'agit d'une maladie superficielle de la paroi, la musculeuse (4 ième couche hypoéchogène) est intacte et donc le bord externe est linéaire et régulier
L'épaississement prédomine à la 3 ième couche hyperéchogène (qui fait > 1/3 de la paroi)
Perte des haustrations (le bord externe du colon est rectiligne, lors de la cicatrisation on retrouve des haustrations)
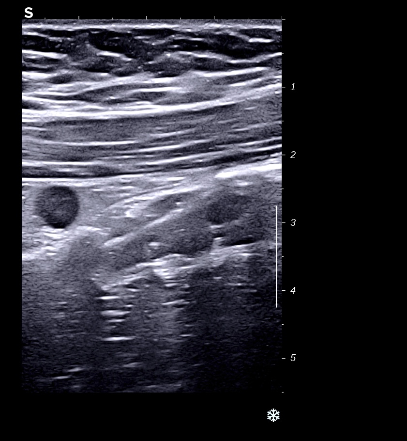
Épaississement continue, circonférentiel, symétrique.
continue (aucun intervalle sain)
circonférentiel (en coupe l'atteinte est la même sur toute la cirdonférence
symétrique (paroi antérieure et postérieure ont le même épaississement)
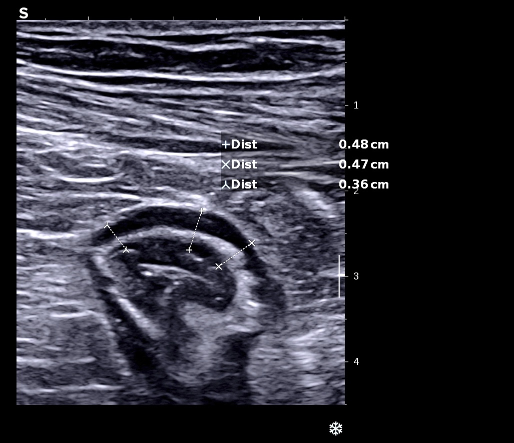
de 3 à 10 mm, rarement plus
les ulcérations de surface ne sont pas visibles, sauf en cas de colite aigue grave (CAG)
Microcolon dans les formes chroniques
La structure en couche est toujours conservée
sauf dans les formes graves (cette disparition est due à la diffusion en profondeur de l'inflammation, la sous muqueuse hyperéchogène devient hypoéchogène et disparait, la paroi devient totalement sombre, cet aspect est associé à la présence d'ulcérations profondes
On peut voir des irrégularités de surface, la présence d'air dans la paroi et l'extension de l'inflammation qui atteint la graisse péricolique, il y a alors risque de perforation ).
La perte de la structure en couche est un signe de gravité
Les modifications extra intestinales sont modérées
(sauf dans les formes graves quand l'inflammation devient transmurale)
Il n'y a jamais de fistule ou d'abcès
Lors de la réponse aux traitement on peut avoir une restitution ad intégrum de la paroi (épaisseur normale, et haustrations), mais après plusieurs poussées on peut voir garder des signes cicatriciels.
La gravité des maladies dans les exemples suivants est proportionnelle à l'épaississement
L'épaississement prédomine à la 3 ième couche hyperéchogène( > 1/3 de la paroi), il est continue, régulier, cironférentiel
La structure en couche est conservée
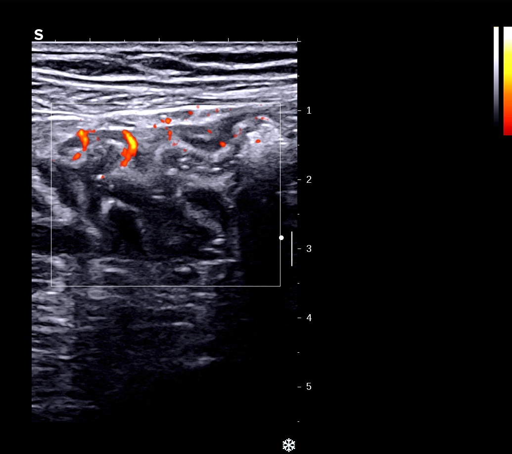
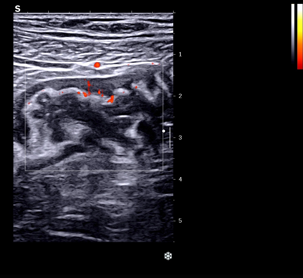
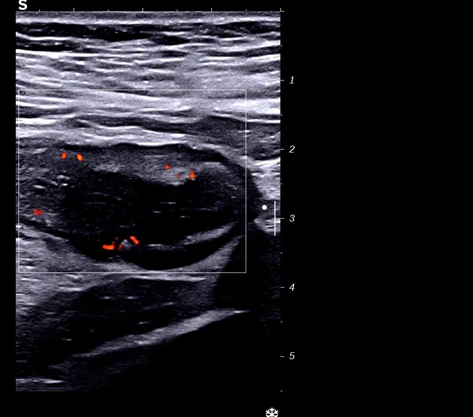
La graisse est peu infiltrée, l'activité doppler modérée.
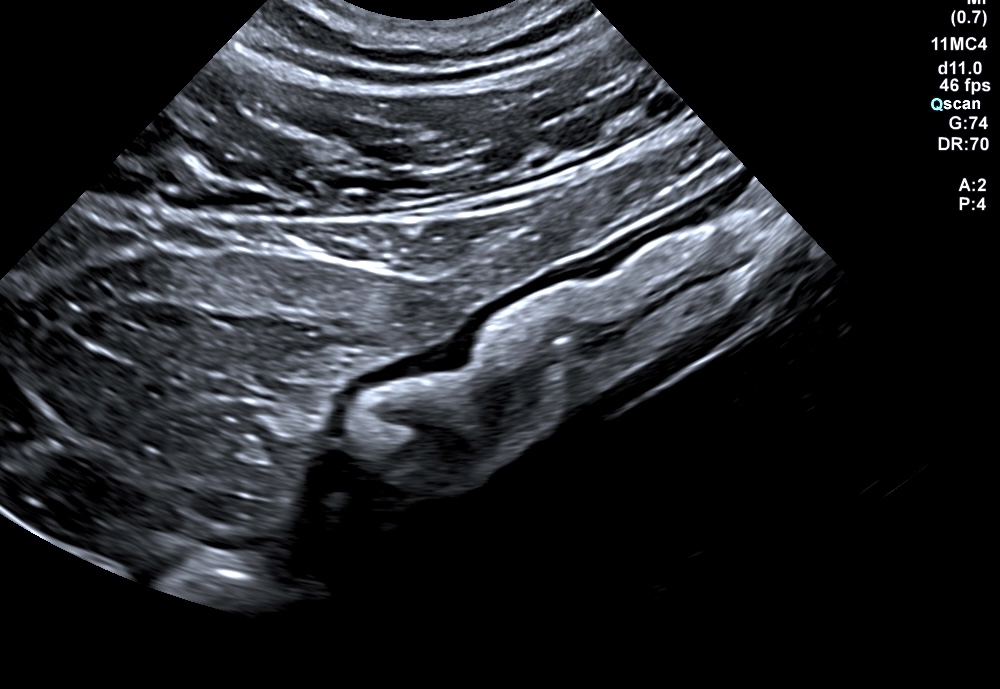
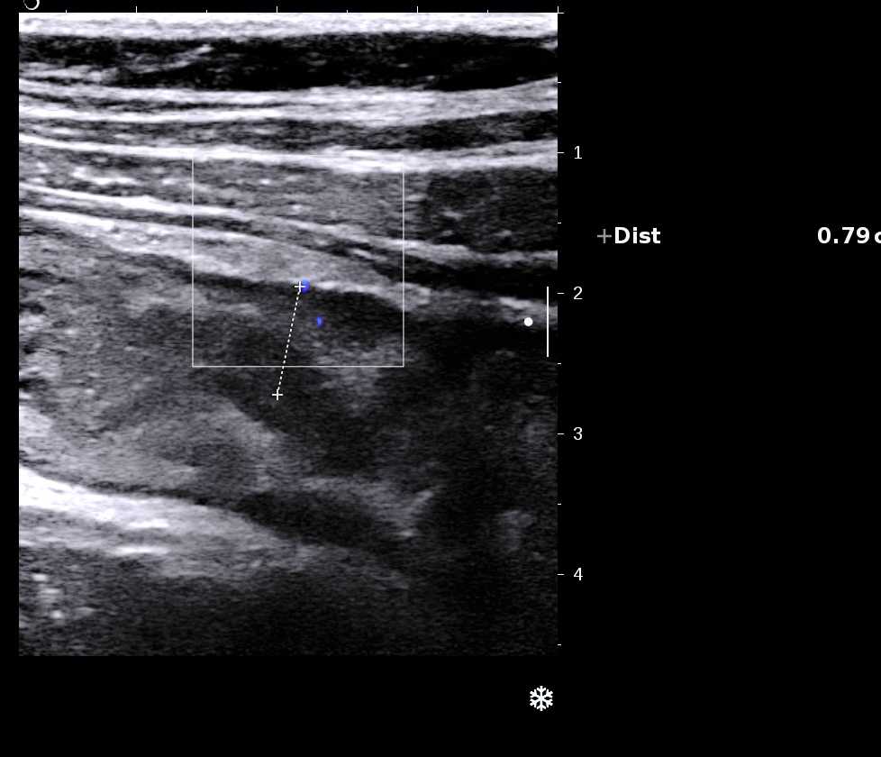
Sur un sigmoide dans une forme récente, la muqueuse est plus épaisse, on a parfois un faux aspect d'irrégularité, mais la structure en couches est conservée




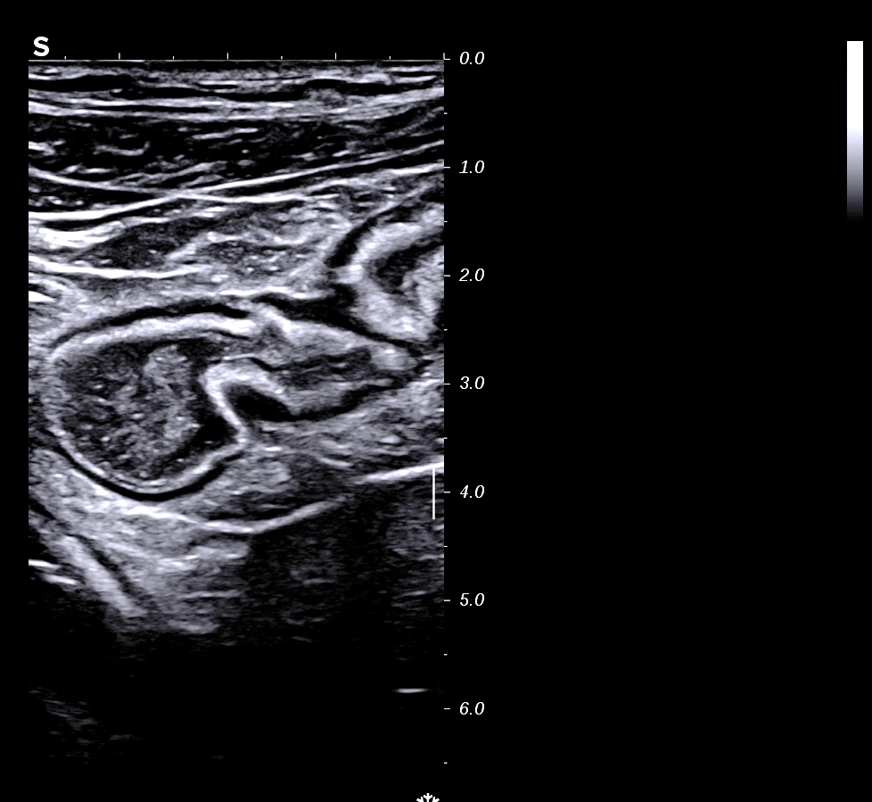
Muqueuse épaissie en coupe transversale


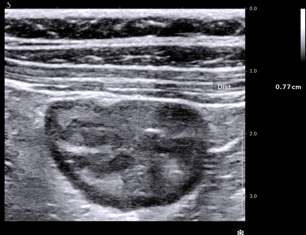
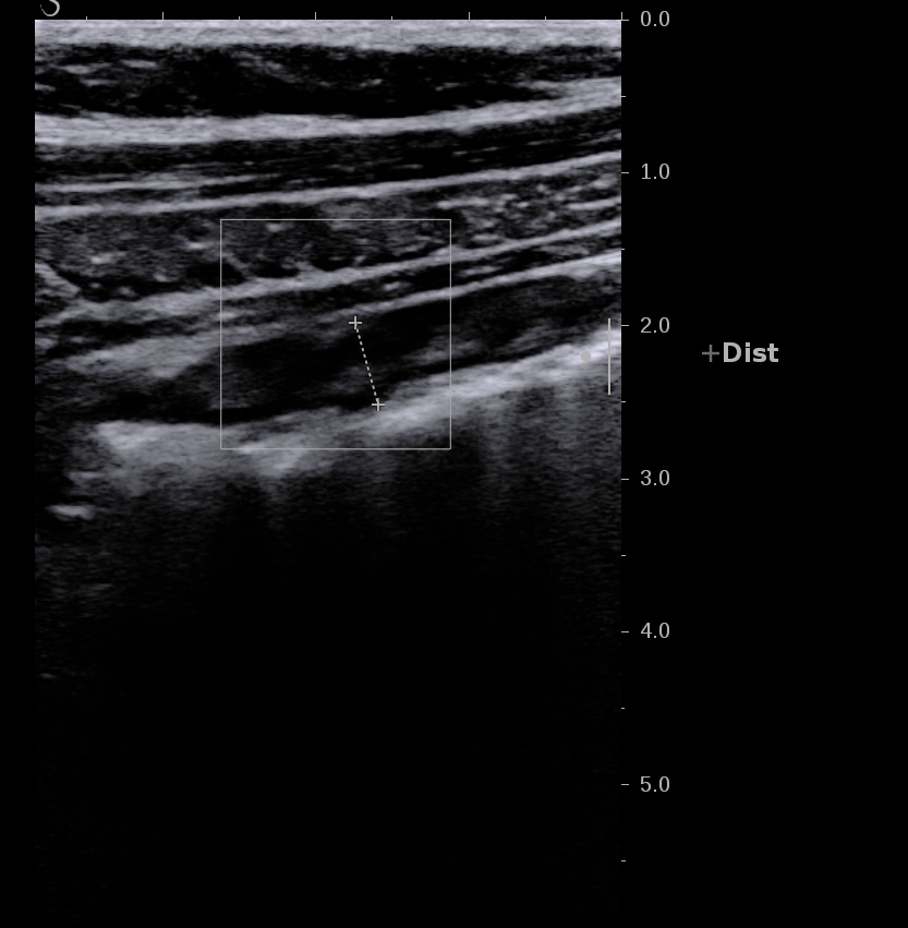
Forme plus chronique, épaississement très important de la sous muqueuse hyperéchogène par rapport à la muqueuse elle fait plus > 3/4 de la paroi


Forme chronique, aspect tubulisé du côlon, qui devient linéaire et rigide

Le doppler est souvent limité à la paroi (Limberg 1 et 2), la graisse peu ou pas infiltrée

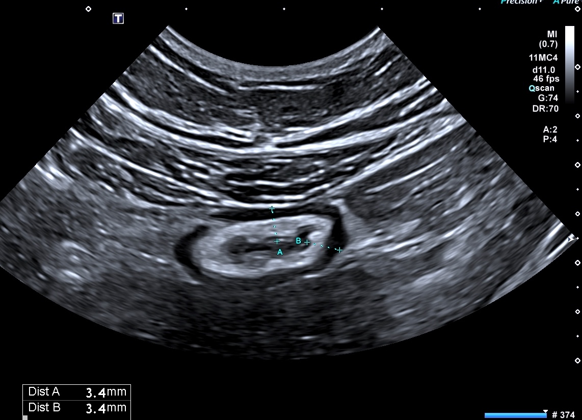
Les ganglions sont de petite taille

Malgré sa petite taille, ganglion rond, hypoéchogène donc inflammatoire
il y a deux formes graves
Disparition de la structure en couches

Paroi totalement déformée, avec ulcères en surface, bord externe irrégulier, graisse infiltrée, voire épanchement liquidien

3. L'inflammation atteint la périphérie de l'anse
Lumière caecale distendue, avec paroi caecale fine paradoxale pour patient qui va très mal

Ces signes doivent faire évoquer une poussée sévère et nécessitent une prise en charge urgente.
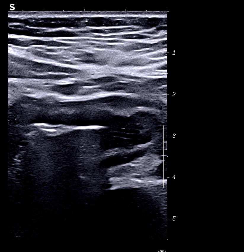
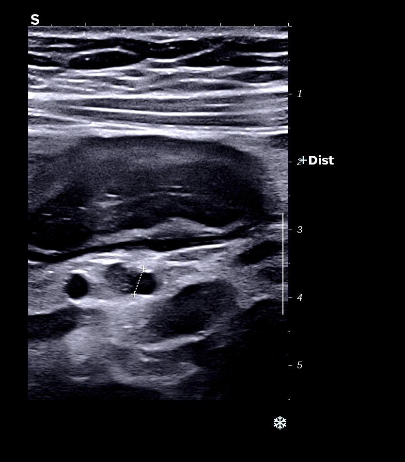
Exemple de paroi de 5 mm avec début de la disparition de la structure en couches (le contraste entre la muqueuse et la sous muqueuse est moins visible)


L'épaississement est encore plus important (8 mm), la surfacede la lumière devient irrégulière



Disparition totale de la structure en couche et aspect très irrégulier du bord externe

Paroi totalement hypoéchogène et couple longitudinale, surface irrégulière donc ulcérée

Paroi antérieure et postérieure accolées, hypoéchogènes
*Paroi antérieure et postérieure accolées, hypoéchogènes et doppler *
Surface irrégulière ulcérée
Paroi hypoéchogène, irrégulière en périphérie, présence d'air dans la paroi due aux ulcères

Caecum, paroi 12 mm, surface ulcèrée
Ulcérations de surface visibles
Colon hypoéchogène paroi irrégulière à l'extérieure, l'inflammation est transmurale
En suivant le colon gauche à partir de la vessie, l'échographie donne très facilement et précisément l'extension
Classification de Montréal
E1 rectosigmoïde (40-50%), E2 Colite gauche (30-40%), E3 pancolite (20 %)

L'échographie intestinale n'est pas un bon moyen de dépistage du cancer colorectal dans la RCH, qui relève de l'endoscopie. On ne verra que les formes évoluées des cancer, il faut y penser devant
voir page sur le cancer colorectal