flot
Les réglages sont très importants car ils influencent énormément les résultats et peuvent paraitre un peu compliqués initialement
En matière de vaisseaux de la paroi intestinale, on doit viser une vitesse cible basse, entre 4 et 8 cm/s (toujours moins de 8 cm/s)
Il faut adapter la fenêtre Doppler à la taille de l'image étudiée carré ou rectangle de 1 cm au dessus et au dessous de la paroi intestinale)
Il faut monter la PRF au maximum (artéfacts dans toutes la fenêtre) puis la descendre jusqu'au seuil où les artéfacts disparaissent et mesurer alors l'activité
A ces vitesses, les moindres mouvements vont déclencher un signal doppler, il faut donc faire attention à:
On utilise la classification de Limberg Modifiée beaucoup plus simple (qui ne tient compte que du doppler, alors que la Classification de Limberg initiale mélangeait des éléments d'épaisseur de la paroi et de doppler)
Tous les Doppler peuvent être utilisé à conditions de respecter les réglages indiqués plus haut.
Doppler classique Limberg 1 sur l'image (limité à la paroi et faible) Crohn jéjunal
La couleur représente le sens du flux
(rouge vient vers la sonde, bleu s'éloigne, peu utile en microcirculation)
La taille de la fenêtre est adaptée à la paroi étudiée

Doppler énergie LImberg 3 (activité intense de la paroi+ graisse) même patient, pas d'indication de sens du flux

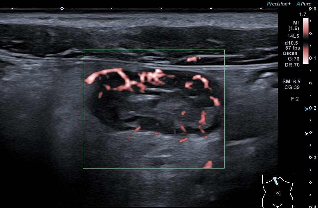
Doppler microcirculation LImberg 3 (activité intense de la paroi+ graisse)
même patient, pas d'indication de sens du flux
