flot
Patient de 39 ans, rectocolite hémorragique (RCH) depuis 2008, suivi des traitements irréguliers, oubliés lorsqu'il va mieux, régulièrement perdu de vue, maladie jamais complètement cicatrisée.
L’intérêt de montrer plusieurs examens au cours du temps (la qualité des images varie dans le temps) , avec des machines différentes, voir que l'on peut facilement faire le bilan d'extension de la maladie en échographie (ici étendue à l'angle gauche), de voir qu'elle est non compliquée, jamais complètement cicatrisée en échographie.
Rappel des modifications échographiques dans la RCH
RCH étendue jusqu'à l'angle gauche, continue à partir du sigmoide, non compliquée
Le film montre des images typiques (mais non spécifiques) de rectocolite hémorragique non compliquée. Le transverse n'est pas modifié, la maladie est étendue du sigmoïde de jusqu'à l'angle gauche.
La vidéo est d'abord en basse fréquence, en partant de l'angle droit puis dans un second temps en partant du rectum. Enfin examen de la paroi du sigmoïde avec la sonde haute fréquence.
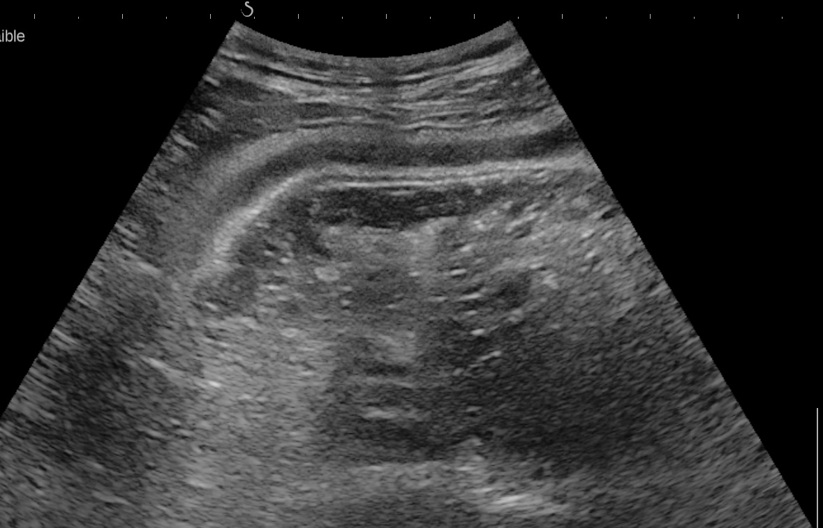
Sigmoïde basse fréquence

Même lésions avec la sonde haute fréquence, épasissement de 7 mm prédominant à la 3 ième couche, c'est à dire la sous muqueuse, hyperéchogène


les signes extra-digestifs sont peu marqués (graisse peu infiltrée, faible activité doppler, voir nulle)
Le Score de Milan est l'un des plus simple pour suivre l'inflammation dans la RCH
Ici score de Milan = (1,4 x7+2)=11,8 maladie très active.
Mais à part l'importance de l'épaississement aucun élément échographique de gravité.


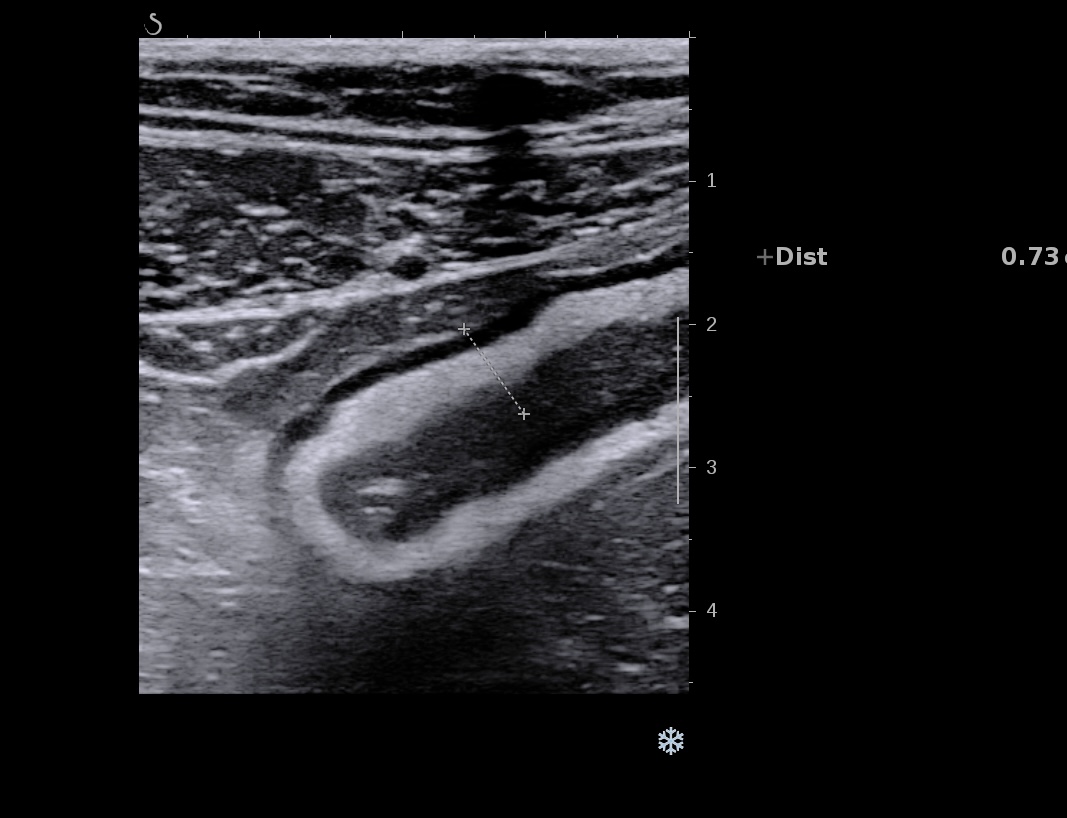
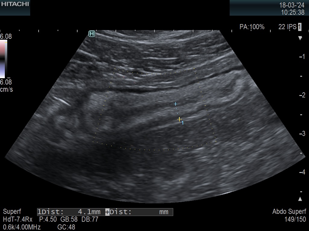
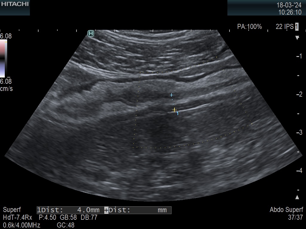
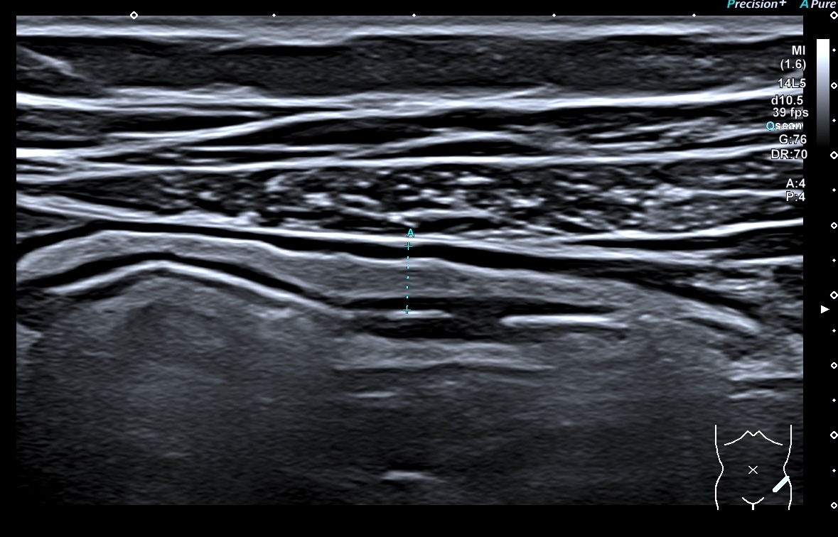
Paroi 4,1 mm et Doppler négatif (Limberg 0)
Score de Milan = 5,74 (1,4 x4,1 +0)
Donc la maladie va mieux, l'évolution est favorable
Mais la maladie reste active (non cicatrisée).
Film en haute fréquence du sigmoïde
Colon transverse non épaissi

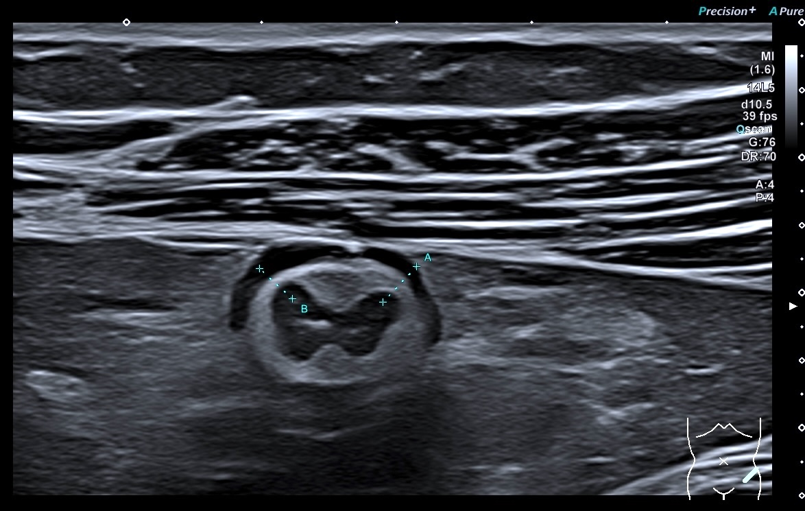
Sigmoïde coupes transversales et longitudinales haute fréquence


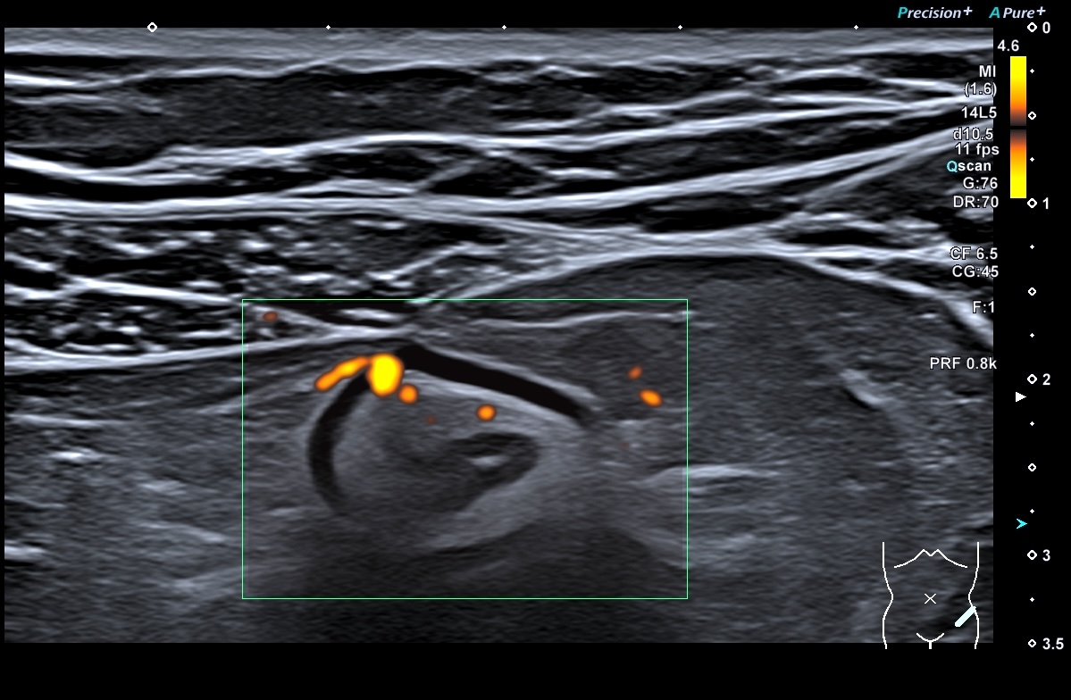
Sigmoïde coupes transversales et longitudinales et doppler haute fréquence

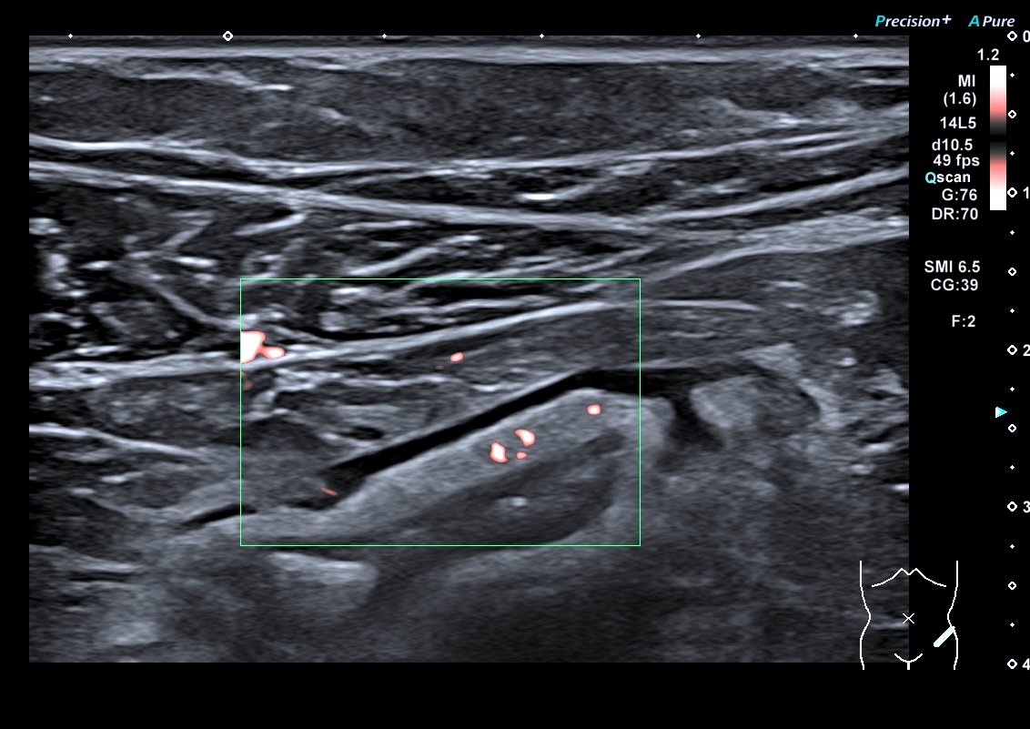
En doppler énergie

Ci-dessus, images de la paroi du sigmoïde avec la sonde haute fréquence. On a toujours les mêmes caractéristiques
La graisse est peu infiltrée, Doppler plus marqué (Limberg 2 voir 3)
Le score de Milan est de (4,5 x 1,4+2)= 8,3 donc la maladie reste active, elle s'est même dégradée. (Score passé de 5.74 à 8.3)
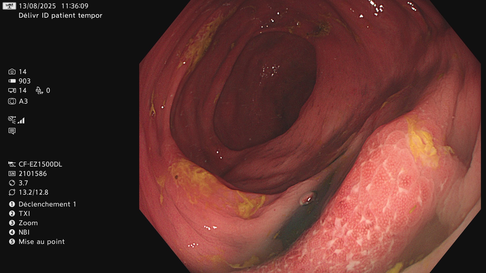
Maladie presque cicatrisée
Ci-dessous, en endoscopie on constate aussi que la maladie garde des petites plages actives sur un colon qui semble presque cicatriciel.



Même aspect en chromoendoscopie virtuelle NBI

L’échographie intestinale voit très facilement le colon, superficiel, c’est un très bon examen de suivi des atteintes coliques des MICI.
Dans la rectocolite hémorragique l'échographie donne immédiatement:
Il existe de nombreux scores échographiques d’activité mais l’un des plus simples et reproductibles est le score de Milan (ep x 1,4+doppler x 2)
Il s’agit d’un excellent élément de suivi, la diminution de l’épaisseur colique est corrélée à la diminution de l’activité.
Il est difficile en échographie d’affirmer une cicatrisation rectale (d’où l’intérêt de la coupler à la calprotectine fécale). La réalisation d’une échographie transpérinéale peut compenser ce défaut de l’échographie abdominale et permettre d’évaluer le rectum.