¶ Les deux grands types de sondes en échographie intestinale
Il existe deux grands types de sonde utilisées en échographie du tube digestifs, toutes deux indispensables.
La fréquence des sondes,
-
se rapporte au nombre de cycle d'onde par seconde
-
elle est exprimée en MHZ (mégahertz soit un milion de cycle par seconde)
-
Plus la fréquence est basse, plus la pénétration est grande
on voit en profondeur
-
Plus la fréquence est élevée, plus la résolution est grande
On aprécie les détails de la paroi, les mesures sont plus précises.

On commence toujours avec cette sonde
- Permet une vue d’ensemble de l’abdomen
- le repérage global des anses (estomac,les portions du colon, iléon, rectum), leur position, repérage d'une éventuelle anse inflammée.
Avantages :
- Bonne pénétration en profondeur (jusqu'à 10-20 cm)
- Visualise l'ensemble de la cavité abdominale.
- Permet de repérer les organes et les différentes portions du tube digestif et de repérer une anse épaissie.
- Détecte les complications en profondeur (épanchements, abcès, infiltration de la graisse du mésentère, occlusion, complications à distance notamment foie)
Idéale pour les patients corpulents ou pour visualiser des segments profonds (c'est parfois la seule à voir le rectum par voie abdominale trans-vésicale).
Inconvénient :
Moins bonne résolution que les sondes HF
→ elle ne permet pas de mesurer précisément l'épaisseur de la paroi intestinale.

Utilisation :
- indispensable, on ne peut pas faire d'étude du tube digestif sans une sonde haute fréquence de qualité
Avantages :
- Permet une sorte un grossissement de l'image
- plus la fréquence est élevée plus on se rapproche de la zone située sous les premiers centimètres de la sonde (on vise en générale 3 à 5 cm pour l'étude du tube digestif)
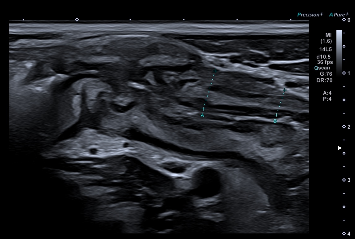
- C'est la seule qui permet une analyse fine de la paroi intestinale (épaisseur, couches, doppler score de Limberg), recherche de complications locales.
Mesurer l’épaisseur pariétale (un critère clé de l'inflammation pariétale).
Evaluer la vascularisation au Doppler (plus il y a de flux, plus l’inflammation est active).
Repérer des complications : sténoses, abcès, fistules.
Inconvénient :
- Moins de pénétration → limitée aux structures superficielles (jusqu’à ~4–5 cm de profondeur)
- ne voit pas les structures au delà (notamment pour le rectum qui est rarement accessible par voie transvésicale en haute fréquence (on pourra souvent y accéder par voie transpérinéale).
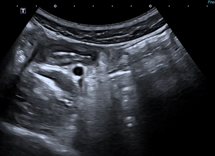
ci-dessous même iléîte terminale vue en basse fréquence et en haute fréquence, iléïte passant devant les vaisseaux iliaques
la sonde HF est la seule qui permette une analyse précise de la paroi
¶ Sonde microconvexe (moins répandue)
Utilisation :
- Zones difficiles d’accès
- Pédiatrie.
Avantages :
- Bon compromis entre résolution et pénétration
- Ergonomie (notamment idéale pour l'examen du rectum par voie transpérinéale).
On utilise souvent les deux types de sondes, toutes deux indispensables et complémentaires :
Sonde BF :
- repérage global des structures (colon, estomac)
Il faut la reprendre si on est perdu pour avoir une vue d'ensemble des structures intestinales.
- recherche de complications (épanchement, abcès, infiltration de la graisse).
Sonde HF :
- analyse fine de la paroi (c'est la seule qui permet la mesure de l'épaisseur pariétale, la stratification)
- indispensable, on ne peut pas faire d'étude précise de la paroi sans une sonde haute fréquence