flot
Définition: distension obstructive progressive de l’appendice, par accumulation intra-luminale de matériel mucoïde.
Peut être bénigne ou maligne
Femme 60 ans coloscopie de dépistage
Aspect bombant de l'orifice appendiculaire, évoquant la présence d'une tumeur de l'appendice
Bombement de l'orifice appendiculaire, faisant suspecter la présence d'une tumeur
Lumière blanche on devinne la présence d'un polype derrière l'orifice
En chromoendoscopie virtuelle NBI, le tumeur est certaine

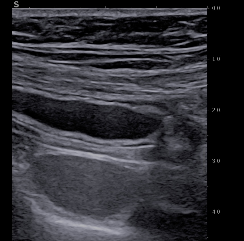
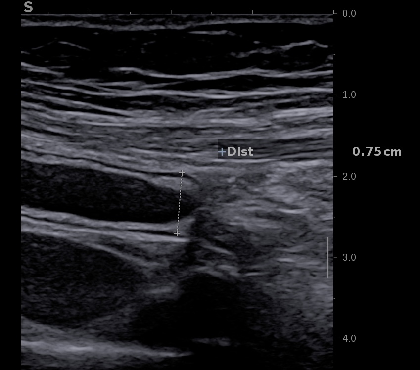
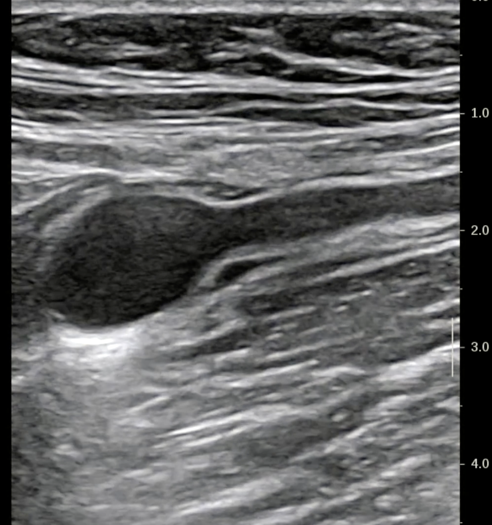
En échographie, à distance (éviter le jour de la coloscopie car l'air peut masquer les images), on voit parfaitement les lésions au delà de l'orifice appendiculaire, la tumeur fait 18 mm x 10 mm et l'appendice au delà est rempli de mucus.
Schéma représentatif du mucocèle

Image échographique de l'appendice au niveau du caecum

Corps de l'appendice vermiculaire distendu (8 mm de large)

Pointe de l'appendice distendue (7.5 mm de large)

Anatomopathologie: tumeur bénigne