flot
La paroi du tube digestif a toujours 5 couches en échographie
mais son aspect varie selon les portions,
Outre les repères anatomiques, l'aspect de la paroi peut aider à se repérer et identifier les portions du tube digestif que l'on regarde.
On finit par
L'estomac et le colon (notamment sigmoïde) ont une musculeuse (4 ième hypoéchogène) épaissie.
Antre coupe longitudinale

Antre, coupe sagitale, (Basse fréquence), musculeuse bien visible

Coupe sagitale (BF) sous le foie gauche, musculeuse très visible

Antre (HF): plis gastriques visibles dans la lumière, musculeuse très épaisse

Antre HF, musculeuse épaisse et plis gastriques

Musculeuse très épaisse et plis gastriques dans la lumière
!
Il faut très bien connaitre cet aspect avant tout pour éviter les erreurs d'interprétation (on peut voir du jéjunum dans tous les secteurs de l'abdomen lorsque l'on cherche à visualiser l'iléon ou le côlon).
Ci dessous anses jéjunales typiques


Paroi normale extrêmement fine peut faire un millimètre, les 5 couches peuvent être très fines.
structure plutôt tubulaire, il n'y pas de valvules conniventes dans la lumière (sinon c'est du jéjunum),
Péristaltisme important (là encore, stimulé par prise de boissons)
Pour être certain qu'il s'agit de l'iléon terminal, il faut toujours tenter de le relier à la valvule.
Iléon paroi 1,8 mm

Iléon terminal et appendice

En basse fréquence (BF) on repère surtout l'air colique sous forme de plages hyperéchogènes avec haustrations
Hautrations coliques (basse fréquence), on ne distingue pas les couches

Hautrations coliques (haute fréquence)

Paroi du sigmoide (HF)

aspect en "w" lié aux deux berges de la valvule (généralement hyperéchogènes) rentrant dans le caecum.


Là encore les 5 couches sont très fines
Aspect de tube très fin relié au caecum,
Pas de péristaltisme propre
Souvent posé sur le psoas.





On le voit difficilement et pas toujours
On le voit rarement avec la sonde superficielle qui ne pénètre que de 5 cm
Difficile donc de bien voir les couches et d'avoir des mesures précises.
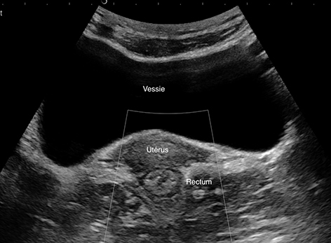
Situé en arrière de la vessie (on le voit mieux vessie semi pleine)
Ici rectum, femme en coupe transversale en arrière de l'utérus en basse fréquence
