flot
Le rectum est une des zones les moins bien vues par l'echographie, elle reste accessible
On sait que l'analyse précise de la paroi ne se fait qu'avec la sonde haute fréquence (HF) mais elle ne pénètre bien que jusqu'à 5 cm.
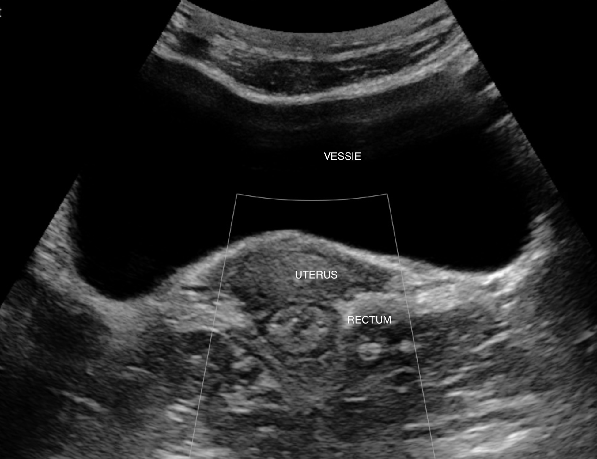
Vessie semi pleine pour améliorer la visibilité, la vessie est le repère principal
On voit successivement
La vessie
l'axe vagin-utérus (attention à ne pas confondre la paroi du vagin avec le rectum)
Le rectum


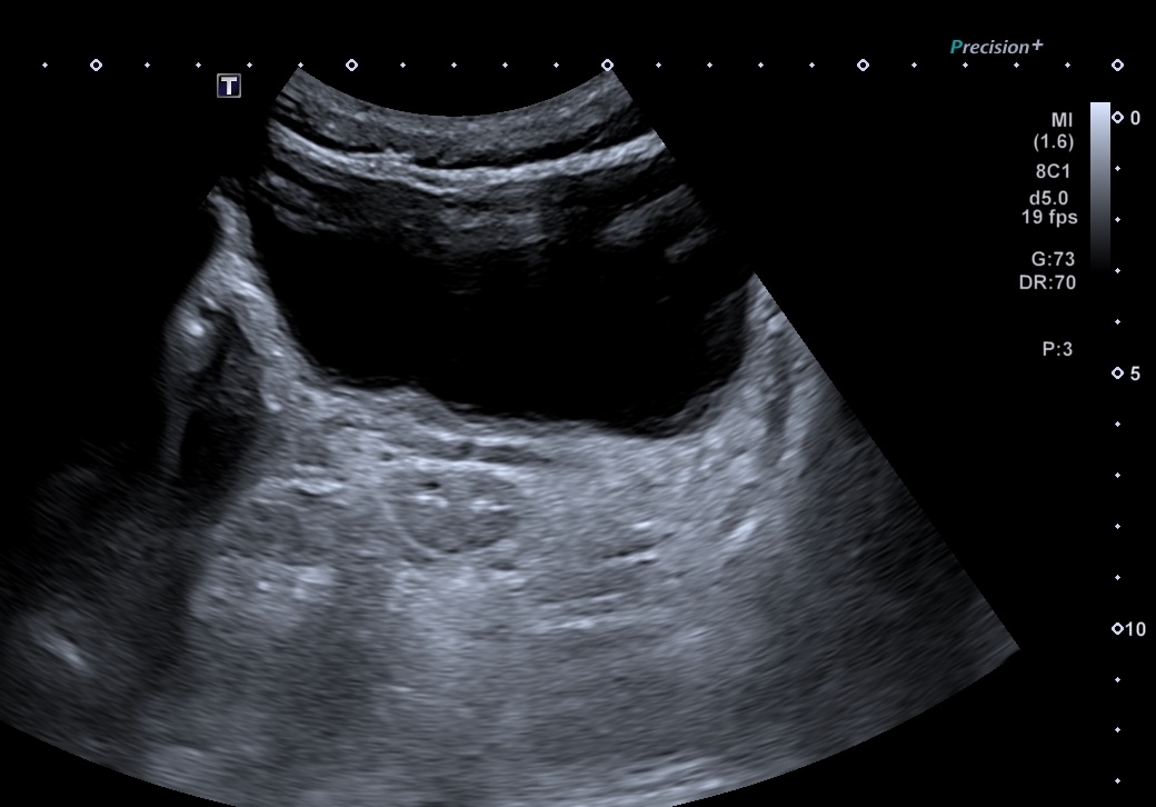
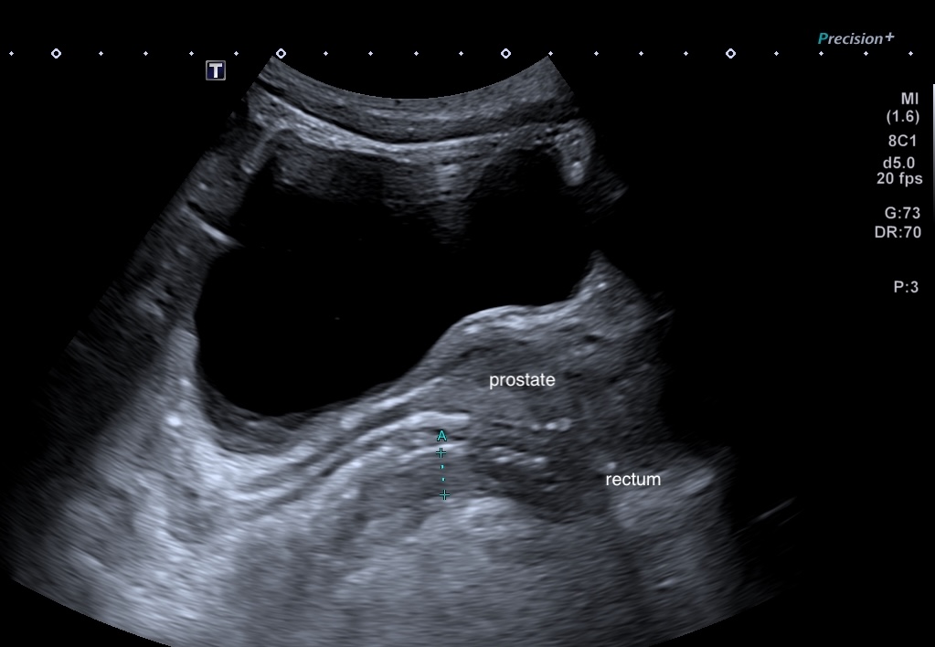
On voit successivement
La vessie
l'axe prostate-vésicule séminales
Le rectum
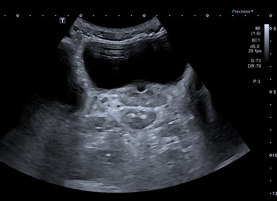
Même patient, coupe passant par les vésicules séminales

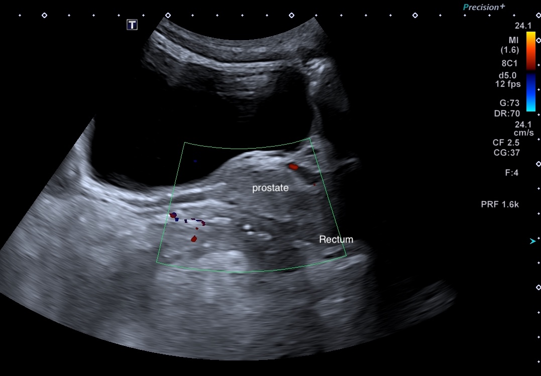
Maladie de Crohn, rectum (épaissisement asymétrique prédominant à la partie postérieure) coupe passant par la prostate

Même patient coupe longitudinale

Epaississement asymétrique prédominant partie postérieure (9 mm)

La voie transpérinéale permet d'observer le rectum dans 100 % des cas avec la sonde HF
Elle nécessite un appreentissage complet, car les images, les mouvements de la sonde différent totalement de la technique habituelle d'échographie intestinale
Le seuil d'épaississement du rectum est fixé à 4 mm