flot
L'occlusion du grêle est très facile à voir en échographie
C'est la seule technique radiologique qui montre la motricité intestinale en temps réel
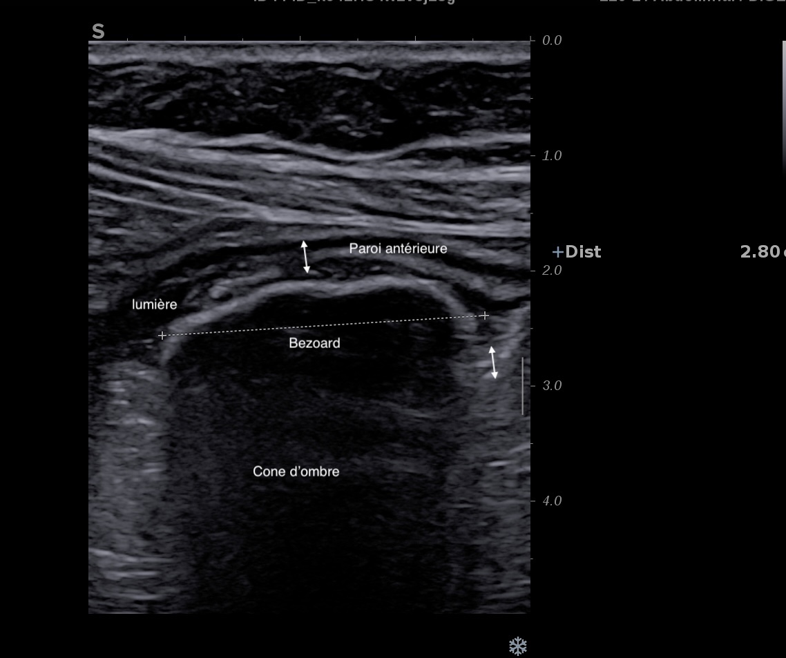
On peut voir en cas d'occlusion:




Sténose serrée
Fistule ou abcès
Association des deux types de lésion
Présence d'un bézoard exceptionnellement, témoigne de la sténose
